Rick Martin, D.D.S.
Board Certified Orthodontist
225-925-9795


Home
   MeetTheStaff   TypesOfBraces   BeforeAndAfterPix   GettingStarted   PaymentPlans   MapToOffice   ForbiddenFoods   Retainers   Emergencies   CheckAppointment   MakePayment   PrivacyPolicy


Retainers

After completing your orthodontic treatment you will need retainers to keep your teeth straight. At first you will need to wear your retainers every night, but even after two years Dr. Martin recommends that you wear retainers one or two nights a week indefinitely to keep your teeth straight. There are three types of retainers that Dr. Martin uses in his office:

Clear plastic retainer
Bonded retainer (non-removable)
Traditional wire retainer

 

aligner.jpg (5199 bytes)A clear plastic retainer is normally placed on the upper teeth one or two days after the braces are removed. It resembles the Invisalign appliance. It is normally worn only at night and lasts an average of 24 months. After it wears out Dr. Martin will replace it with a traditional wire retainer.

 

 


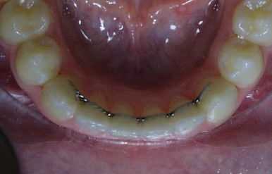
bonded.jpg (22395 bytes)A bonded retainer is normally placed on the tongue side of the lower teeth after the braces are removed. It is a wire bonded to the teeth with composite. It is important to floss under the wire daily with floss threaders. Sometimes this type of retainer will be used for the upper teeth, but normally this is not possible because it would interfere with your bite. A bonded retainer will remain in place for several years. Eventually Dr. Martin will remove this retainer and place a traditional wire retainer. Usually the bonded retainer is removed after the wisdom teeth have either erupted or been removed. 

 


hawleys.jpg (14755 bytes) A traditional wire retainer is normally placed after discontinuing use of either the clear retainer or bonded retainer. This type of retainer has the added benefit of being adjustable so that minor tooth movement is possible. Sometimes a wire retainer can be worn full time instead of braces to correct mild crowding.

 

7707 Old Hammond Hwy Ste 4,  Baton Rouge, LA  70809
Text number: 225-519-8595    E-mail:
braces@coxmail.com
Member of the  American Association of Orthodontists
Certified by the American Board of Orthodontics