Rick Martin, D.D.S.
Board Certified Orthodontist
225-925-9795


Home
   MeetTheStaff   TypesOfBraces   BeforeAndAfterPix   GettingStarted   PaymentPlans   MapToOffice   ForbiddenFoods   Retainers   Emergencies   CheckAppointment   MakePayment   PrivacyPolicy


Actual Cases Treated by Dr. Martin:

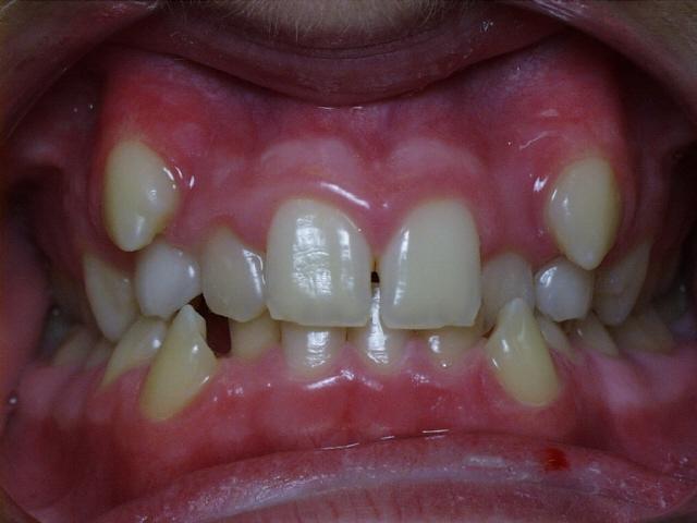
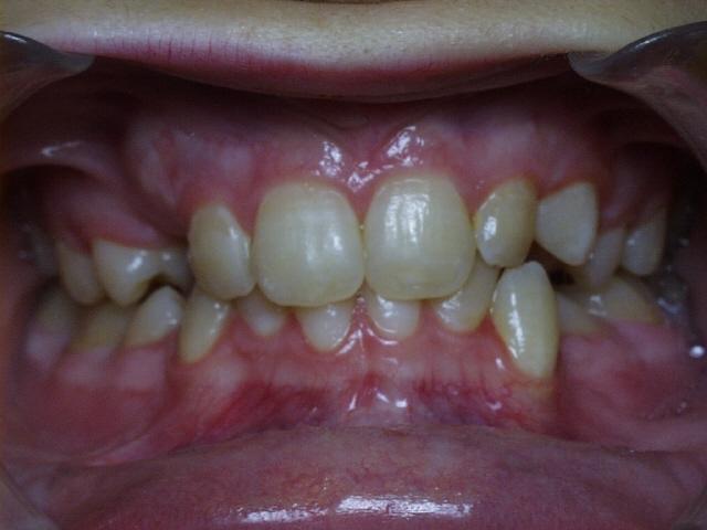
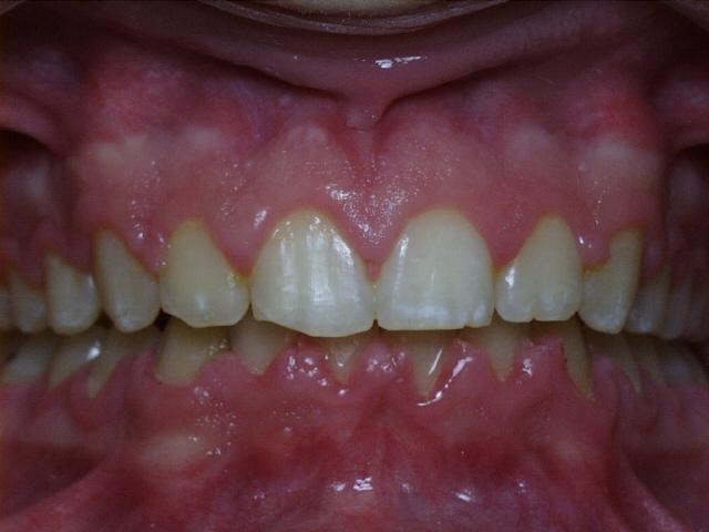
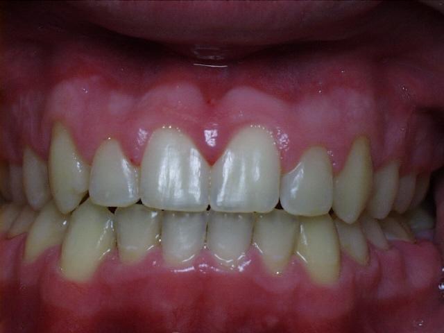
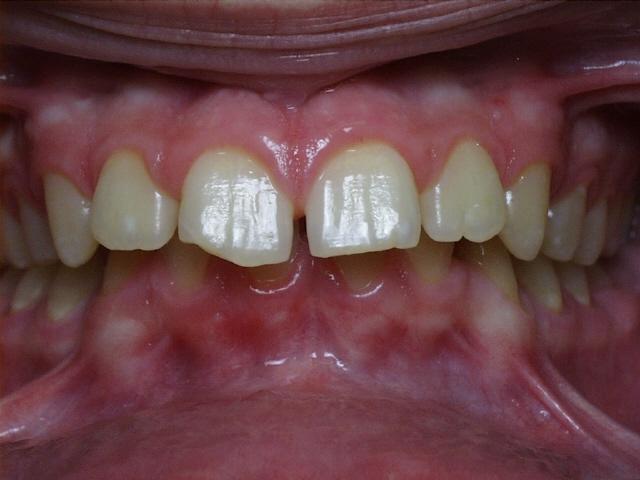
Moderate crowding with crossbites of the front teeth.  Treatment time was 24 months.  No permanent teeth were extracted in this case, but two deciduous cuspids seen in the initial photo were extracted after the braces were placed.  The molars were class 3 (lower molars too far forward at the start of treatment).

Before  lmao1.jpg (29692 bytes)     lmao3.jpg (25621 bytes)  After

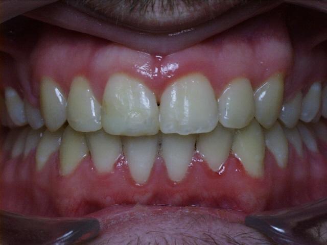
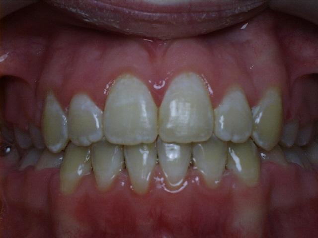
Moderate crowding with a severe overbite.  Treatment time was 20 months.  This case required the extraction of two upper permanent teeth.  The molars were class 2 (upper molars too far forward at the start of treatment).

Before  mrao1.jpg (28593 bytes)     mrao3.jpg (29394 bytes)  After

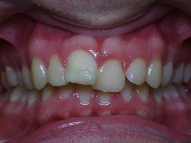
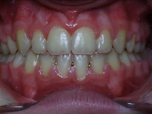
Severe overbite with mild upper and lower crowding.  Treatment time was 29 months.  No permanent teeth were extracted in this case.  The molars were class 2 (upper molars too far forward at start of treatment).  This patient can have bonding performed by his general dentist to repair the chipped front tooth.

Before  ttao1.jpg (30309 bytes)     ttao3.jpg (28155 bytes)  After

Severe crowding with a crossbite of the front teeth.  Treatment time was 18 months.  This case required the extraction of four permanent teeth.  The molars were class 1 (upper and lower molars met properly at start of treatment).  This patient's teeth are discolored in the final photo because of poor oral hygiene while wearing braces.

Before  rpao1.jpg (28965 bytes)     rpao3.jpg (27357 bytes)  After

Crossbites of the back teeth with open bites in the cuspid areas.  Treatment time was 35 months.  The molars were class 3 (lower molars too far forward at the start of treatment).

Before  spao1.jpg (27547 bytes)     spao3.jpg (31568 bytes)   After

Severe crowding with crossbites of the front teeth.  Treatment time was 18 months.  This case required the extraction of four permanent teeth.  The molars were class 1 (upper and lower molars met properly at start of treatment).

Before  emao1.jpg (27861 bytes)     emao3.jpg (25778 bytes)   After


7707 Old Hammond Hwy Ste 4,  Baton Rouge, LA  70809
Text number: 225-519-8595    E-mail:
braces@coxmail.com
Member of the  American Association of Orthodontists
Certified by the American Board of Orthodontics